~子どもの保湿意識調査と肌研究結果~
翠松堂製薬株式会社(所在地:東京都中央区、代表取締役:谷村 真一)が販売するベビースキンケア
ブランド「ママフィ」ではこの度、乳幼児の保護者を対象に意識調査を実施しました。調査結果によると、約半数の子どもが「6歳まで※」に保湿をやめる予定である(やめた)ことが明らかになりました。しかし、翠松堂製薬の研究結果では、0~6歳児の肌が「水分量・水分保持力ともに未熟」で6歳でも肌は発達途中であることが明らかとなっています。本リリースでは、意識と実態のギャップをデータで明らかにし、保湿ケアの重要性を啓発します。
※7歳未満
調査概要
調査方法:インターネット調査調査対象:0~7歳の子どもを持つ保護者700名
調査期間:2025年7月8日(火)・9日(水)
調査主体:翠松堂製薬株式会社
調査結果

ママフィ 子どもの保湿に関する調査結果
▶ 保護者に子どもに対する保湿の継続予定(実績)を年齢でたずねると、「未定/12歳以上より長く続ける予定(続けていた)」と回答した方は45.9%にのぼり、長期的な保湿意識を持っている一群がいることがうかがえました。一方で、「6ヵ月未満~7歳未満」と回答した保護者は47.1%にのぼり、「6歳まで」に子どもの保湿をやめる予定(やめた)という一群が約半数いることも明らかとなりました。
保湿継続予定(実績)年齢を「6ヵ月未満~7歳未満」と回答した理由(自由記述から主な傾向を抜粋)
「なんとなく」「特に理由はない」「肌が弱いから」「肌の乾燥が気になるから」「(やめようと思っている頃には)肌が強くなっていると思ったから」
▶ 多くの保護者が保湿をやめる時期を、理由なしに「なんとなく」決めていることが明らかに。
一方で、「肌が弱いから」など子どもの肌の未熟さは意識しながらも、保湿を6歳までにやめる保護者もいることがわかりました。
研究結果
翠松堂製薬の研究により、0~6歳児の肌は、成人の肌に比べると「水分量・水分保持力ともに未熟」で“6歳においても肌のバリア機能は成熟途中である”ことが明らかとなりました。
■乳幼児の肌の測定結果(トラブルの無い子どもの肌を測定)

角層水分量(頸部)
成人に比べると、6歳児においても、角層水分量が少ないことがわかった。
(Corneometer CM825(Courage + Khazaka社製)を用いて測定部位を各5回測定し、平均値を算出。)

経皮水分蒸散量(上腕内側部)
成人に比べると、6歳児においても、経皮水分蒸散量が多いことがわかった。
(Vapo Scan(日本アッシュ社製)を用いて測定部位を各2回測定し、平均値を算出。)
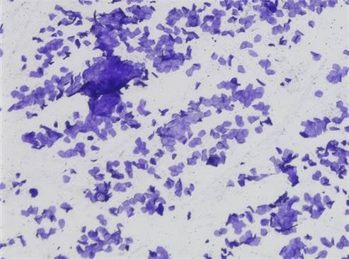
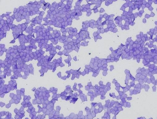
■乳幼児の角層構造の顕微鏡写真(成人との比較)

乳幼児(頬部)
乳幼児(頬部)全体的に細胞が小さく、細胞同士の接着力が弱いため、バリア機能が未熟。

成人(頬部)
成人(頬部)細胞が成熟し、細胞同士の接着力も強いため、バリア機能も高い。
ママフィからの提案
ママフィが提案する、未熟な子どもの肌を守る「保湿ケア習慣」スキンケアブランド「ママフィ」は、保護者の約半数が「6歳まで」に子どもの保湿をやめる予定(やめてしまった)という現状に課題を感じています。実際には、子どもの肌はたとえ健康そうに見えたとしても、思春期頃まで肌を保護する皮脂の分泌がなく、肌のバリア機能が未熟な状態が続くといわれています。乾燥や外的刺激に弱いこの時期の肌を守るためには、毎日の保湿ケアを無理なく“習慣化”することが大切です。ママフィは、こうした背景から、“効果”だけでなく、“続けやすさ”や“使いやすさ”にもこだわった保湿アイテムを開発。毎日のケアを負担にせず、親子で気軽に取り入れられる「保湿ケア習慣」をご提案します。
【ポイント1.】保湿と保護が同時に叶う独自技術
独自技術の保護膜「キトバリア※1」がすき間なく肌にぴったり密着し、肌本来のバリア機能をしっかりサポート。外的刺激を防ぎながらうるおいを閉じ込め、すこやかな肌を保ちます。べたつかないのに汗や水に強く、乳幼児の肌をやさしく守ります。

ママフィ 独自技術〈キトバリア〉
※1 保湿成分MCキトサン(カルボキシメチルキトサンミリスタミド)による保護膜
※2 肌の部位によって厚みの違いがあります。
【ポイント2.】選べて続けやすい、2タイプの使い心地
子どもの肌状態や季節に合わせて、もっちりタイプ/さらっとタイプの2種類から選べます。
ポンプ式で片手でも使いやすく、忙しい毎日でも続けやすい設計です。
【ポイント3.】肌に寄り添う、無添加・低刺激性処方
赤ちゃんにうれしい無添加(香料・着色料・アルコール(エタノール)不使用)。小児科医による新生児・乳幼児試験済、アレルギーテスト済、パッチテスト済、各種テストを実施しています※。
赤ちゃんから小学生はもちろん、家族みんなで使いやすい“肌へのやさしさ”にこだわった処方です。
※すべての方の肌にアレルギーや刺激が起こらないわけではありません。

ママフィ 濃いリッチミルク
うるおってもっちり 翌日までしっかり守る ママフィ 濃いリッチミルク
(販売名:ママフィ リッチミルク)
150g 1,540円(税込)
350g 3,080円(税込)

ママフィ 潤いミルキーローション
すーっとのびて さらっとうるおうママフィ 潤いミルキーローション
(販売名:ママフィ ミルキーローション)
150ml 1,540円(税込)
350ml 3,080円(税込)
【お客様のお問い合わせ】
翠松堂製薬 カスタマーセンター
103-0025 東京都中央区日本橋茅場町2-5-6 日本橋大江戸ビル4F 402号室
TEL 0120-089961
www.mamafy.jp
企業プレスリリース詳細へ
PR TIMESトップへ